こんな症状・心当たりはありませんか

甲状腺は首の前にある、ホルモンを分泌する臓器です。疲れやすい、疲れが取れない、だるいのが続く、脈が速い、動悸がする、体重が減らない、体重が減った、などの自覚症状がある方はもちろん、健康診断で甲状腺が大きいと言われた、という方まで受診理由は様々です。甲状腺に問題があるかどうかは、おおむね血液検査と甲状腺エコー(超音波検査)を行えばわかることが多く、当院ではどちらの検査も可能になります。診断がつけばゆう徳丸内科皮膚科で治療を開始し、さらなる検査が必要な場合(がん細胞がいるかどうか調べる穿刺細胞診や甲状腺の放射性ヨウ素の取り込みを調べる甲状腺シンチグラフィ)は、適切な病院へ紹介状を作成し、他院との連携治療も可能となっております。以下、甲状腺の解説を行います。
甲状腺機能亢進症(バセドウ病など)でみられる症状
- 動悸や息切れがある
- 体重が減ってきた
- 汗をよくかく
- 手が震える
- 暑がりになった
- 甲状腺が腫れている気がする
- 目が出てきた気がする
甲状腺機能低下症(橋本病など)でみられる症状
- むくみがひどい
- 体がだるい、疲れやすい
- 寒がりになった
- 体重が増えた
- 便秘がちになった
- 脱毛や抜け毛が増えた
- 集中力や記憶力が落ちた気がする
このような症状がある場合は、甲状腺ホルモンの異常が隠れていることがあります。気になる症状が続くときは、一度ご相談ください。
甲状腺とは
甲状腺は首の前側にあり、体の代謝に関わるホルモンをつくる臓器です。
甲状腺ホルモンにはT3、T4があり、脳下垂体から分泌されるTSHによって調整されています。

甲状腺模式図

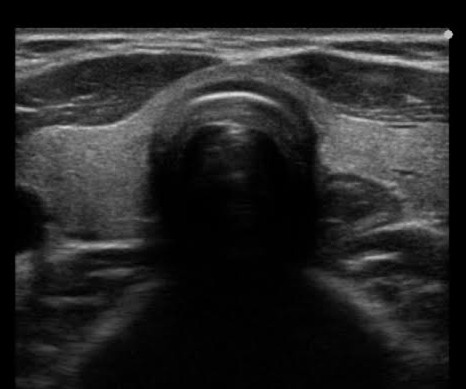
正常な甲状腺超音波検査画像
甲状腺の病気は甲状腺機能亢進症、甲状腺機能低下症、甲状腺腫瘤の大きく3つに分けられます。そのなかでも代表的な病気が、バセドウ病と橋本病です。
バセドウ病(甲状腺機能亢進症)
バセドウ病とは
バセドウ病は自己免疫疾患のひとつで、甲状腺が過剰に刺激され、甲状腺ホルモンが出すぎる状態です。
バセドウ病の症状
バセドウ病の典型的な症状としては、暑がりになり汗をかきやすい、手が震える、体重が減る、動悸などが現れます。下痢、気持ちが落ち着かない、怒りっぽくなる、疲れやすいなどの症状を伴うこともあります。女性では生理が止まることがあります。男性によくみられる症状には、炭水化物の多い食事の後や運動後などに手足が突然動かなくなる発作(周期性四肢麻痺)があります。
のどぼとけのすぐ下にある甲状腺は、全体的に大きく腫れてきます。眼球が突出して、周りの人に指摘されたり、目が完全に閉じなくなったりすることもあります。
バセドウ病の原因
原因としては、TSH受容体抗体などによる自己免疫反応が関わるとされています。遺伝的要因に加え、ストレスや喫煙などの環境要因も発症に影響すると考えられています。血液検査での診断が基本となります。
バセドウ病の治療
治療は大きく分けて、薬物療法、放射性ヨウ素内用療法、甲状腺摘出術の3つがあります。多くの場合、まず、抗甲状腺薬による薬物療法が行われます。薬物療法を2年以上継続しても薬を中止できる目途が立たない場合には、放射性ヨウ素内用療法や甲状腺摘出術などの他の治療法が検討されます。当院では3つの治療法を説明し、内服治療以外を希望される場合は、適切な病院へ紹介状を作成しております。
バセドウ病はストレスによって病気が悪化したり、再発したりすることがあるので、日常生活では、できるだけストレスを避けて規則正しい生活を送るように心がけましょう。
橋本病(慢性甲状腺炎・甲状腺機能低下症)
橋本病とは
橋本病は慢性甲状腺炎ともよばれ、甲状腺ホルモンが少なくなる病気の代表的な疾患です。日本人で頻度が高く、成人女性の10人に1人、成人男性の40人に1人にみられます。ただし、すべての患者さんで甲状腺ホルモンが少なくなるわけではなく、橋本病のうち甲状腺機能低下症になるのは4~5人に1人未満といわれています。そのため、多くの方は半年毎の血液検査による経過観察となりますが、特に30~40代の女性に発症することが多い疾患です。
橋本病の症状
橋本病は免疫の異常により炎症が生じ、甲状腺が少しずつ破壊されます。甲状腺の炎症により首が太くなったようにも感じます。症状としては、全身の代謝が低下するため、耐寒性の低下(寒がり)、体重増加、体温低下、だるさ、かすれ声、便秘、高脂血症などが出現します。女性では月経過多になることがあります。また、気分が落ち込んだり、不安感が増したりすることもあります。うつ病や更年期障害、脂質異常症として治療されていることもあるので、疑わしい症状があれば、甲状腺ホルモンの検査をお勧めします。太った、疲れやすい、だるい、などの症状でいきなり甲状腺が悪いのかな?と思う方は少ないと思います。発症しても気が付きにくいのが特徴であるため、橋本病がある方は定期的な検査が必要ですし、初診の方も積極的に甲状腺疾患を考えていかないと気が付かないことも多いことが特徴です。放っておくと心不全を起こす原因にもなるため、注意しましょう。
橋本病の原因
抗TPO抗体や抗サイログロブリン抗体などの自己抗体が関与し、甲状腺が障害されることで起こります。血液検査で診断を行っていきます。
橋本病の治療
甲状腺の機能低下(甲状腺ホルモンの減少)がみられない場合、原則的に治療は必要ありません。甲状腺機能低下症が認められる場合は、合成T4製剤チラーヂン®(甲状腺ホルモン薬)の内服を行います。昆布など海藻類に多く含まれるヨウ素の過剰摂取は、甲状腺の働きを低下させるため、過剰摂取が疑われる場合は、ヨウ素制限も必要となります。
倦怠感など甲状腺機能低下症の症状が強い場合、治療によって甲状腺ホルモンが正常に戻るまでは、あまり体に負担をかけないように心がけましょう。
甲状腺腫瘍
甲状腺腫瘍は無症状のことが多いため、頸部のしこりに偶然気づいたり、検診などで指摘されたりする方が増えています。多くは良性腫瘍であり、腺腫様甲状腺腫(せんしゅようこうじょうせんしゅ)、濾胞腺腫(ろほうせんしゅ)、のう胞などが含まれます。悪性腫瘍(甲状腺がん)は、乳頭がんが全体の90%以上を占めているといわれています。甲状腺に腫瘍がみつかった場合、まず、超音波検査を行い、悪性が疑われれば、精密検査として穿刺吸引細胞診を実施して良悪性を鑑別します。
腫瘍が大きい場合、甲状腺のしこりや甲状腺全体に腫れが認められます。前頸部に違和感などを生じることもあります。腫瘍から甲状腺ホルモンが過剰産生される機能性甲状腺結節では、動悸や発汗過多、体重減少などがみられることがあります。
良性腫瘍であれば、原則的に経過観察となりますが、腫瘍が大きく圧迫症状が強い場合や美容上気になる場合、あるいは悪性腫瘍の合併が疑われる場合などは手術を検討します。悪性腫瘍の治療は手術が基本です。術後再発や遠隔転移がある場合は、手術後に放射線ヨウ素内用療法が行われます。
甲状腺腫瘍は、当初、良性と思われていた腫瘍が、経過とともに悪性の可能性が高まってくることがありますので、良性と診断されたとしても経過観察は必要です。とくに経過中に大きくなってくるケースは要注意です。当院では腫瘤を認めた際は基本的に半年毎に経過観察のエコーを行っており、大きくなってくる際は穿刺細胞診のために紹介状を作成しております。
腺腫様甲状腺腫
甲状腺にしこりができる病気のなかで最も頻度の高い疾患です。結節が多発した状態を「腺腫様甲状腺腫」、結節が単一のものを「腺腫様結節」といいますが、病態は同じです。甲状腺の細胞が増えたり、壊れたりしながらしこりを形成します。
良性ですので圧迫感などの強い症状や美容上で問題がなければ、手術はせずに経過観察となります。長期の経過の中で、結節が自律性に甲状腺ホルモンを産生し機能亢進状態になる「中毒性多結節性甲状腺腫」に移行することもあります。この場合、状況によって薬物療法(抗甲状腺薬)、手術、放射性ヨード内用、経皮的エタノール注入療法(PEIT)などを選択します。
亜急性甲状腺炎
甲状腺に炎症が起こり、甲状腺組織が壊れる病気で、炎症による症状と甲状腺ホルモン高値(甲状腺中毒症)による症状が伴います。炎症による症状には、発熱、甲状腺の腫れ、強い痛みなどがあり、甲状腺ホルモン高値による症状には、全身倦怠感、動悸、多汗などがあります。風邪の後に続いて起こることがしばしばあり、ウイルス感染により生じる可能性があります。
時間はかかるものの自然に炎症や甲状腺中毒症は治まりますが、高熱や首の痛みがひどい方では生活に支障を生じるため、症状に応じて副腎皮質ホルモン(ステロイド)や抗炎症薬の投与が必要となります。ステロイドの内服で症状はおおむね改善しますが、急に内服を中止すると、ぶり返してしまうことがあるので、症状改善後は薬を少しずつ減らし、中止します。まれに、その後甲状腺機能低下症を発症する方がいます。その際は中長期的に合成T4製剤チラーヂン®(甲状腺ホルモン薬)を内服するケースもあります。
甲状腺は比較的有病率の高い疾患になります。自覚症状として出にくいケースもありますので、特に首が太い気がする、のどの圧迫感がある、飲み込みにくい、体重が増える、体重が減る、疲れやすい、だるい、などの症状がありましたら、一度検査をおすすめいたします。
当院で行う甲状腺の検査
ゆう徳丸内科皮膚科では自主的に甲状腺が悪いのではないかと受診してくる方もいらっしゃれば、診察して甲状腺の病気が疑わしいとこちらから指摘する方もいらっしゃいます。基本的に甲状腺の病気が疑わしい時は、血液検査と画像検査が必要になりますので、受診当日に血液検査を行い、後日その結果説明と同時に甲状腺エコーで画像診断を行うことが基本となります。画像検査は当日結果説明が可能であり、当院でそのまま治療を開始する場合もあれば、半年後などに経過フォローとなるケース、さらなる検査が必要な場合はその検査が実施できる適切な病院へ紹介状を作成することになります。
- 当院で行う甲状腺の検査
- ・血液検査
TSH、FT3、FT4などの甲状腺ホルモン、必要に応じて、抗TPO抗体、抗サイログロブリン抗体、TSH受容体抗体(TRAb)なども確認します。
- ・エコー検査(超音波検査)
甲状腺の大きさや形、結節の有無などを確認します。バセドウ病や橋本病では特徴的な画像所見を示すことが多く、また、甲状腺腫瘍などはエコー検査でないと発見できないことも多いです。
- ・当院で甲状腺を診る理由
甲状腺は、代謝をつかさどるホルモンのため、高血圧や脂質異常症、肥満症などにも深く関係しており、生活習慣病を専門的にみるゆう徳丸内科皮膚科としては、甲状腺は非常に重要な疾患です。院長は国立国際医療センター病院(現:国立国際医療センター|国立健康危機管理研究機構)糖尿病内分泌代謝科で長年診療を行い、甲状腺疾患も専門的に治療することが可能です。ぜひ甲状腺でお困りの方はご受診ください。